Dr Eduard Gazdov

📍 Dental Implants & Smile Makeovers in Sofia, Bulgaria

DMD - MA (HM) - MClinDent
Master of Clinical Dentistry in Fixed and Removable Prosthodontics
(King’s College London)

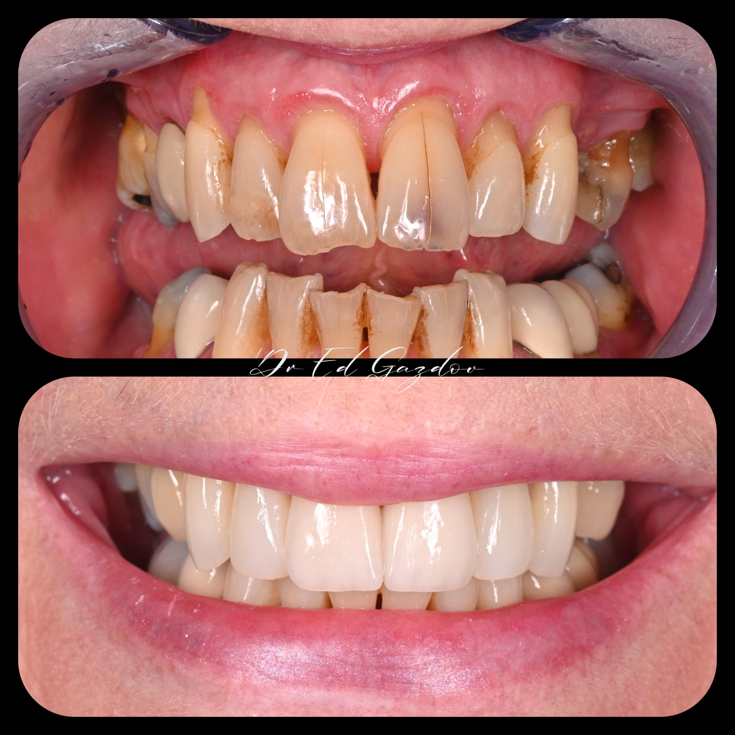
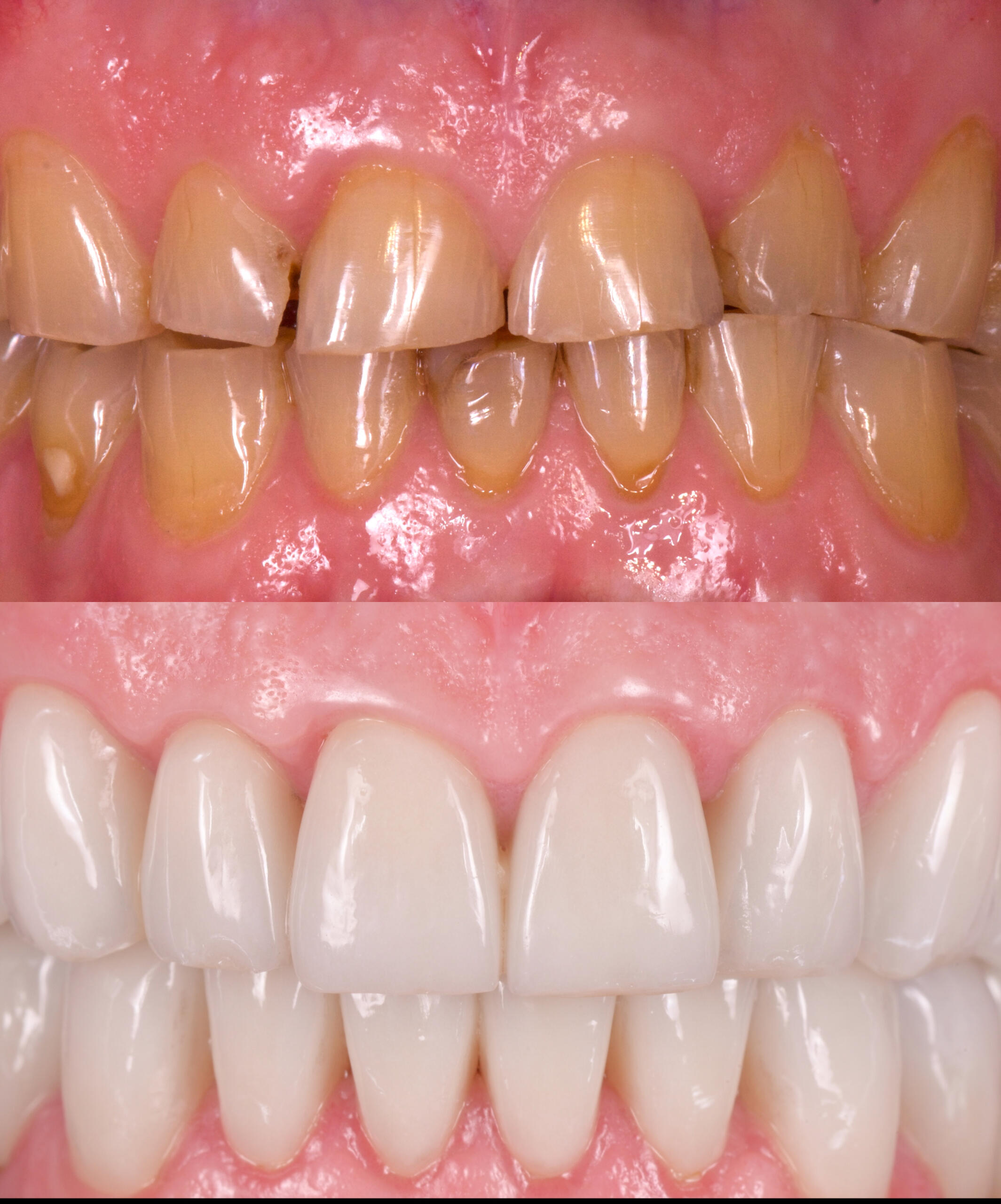
Before and after smile makeover with ceramic veneers for front teeth • alt="Cosmetic dental treatment in Bulgaria" • alt="Full smile rehabilitation with implants" • alt="Veneers and implants by Dr Eduard Gazdov" • alt="Dental implants before and after Sofi

🥇WINNER: Best Young Dentist UK 2020 🏆

Dr Eduard Gazdov holding the Best Young Dentist UK 2020 (South East) award, recognised among top peers in British dentistry.

Expert in:• Full Smile Makeovers
• Dental Implants
• Saving Extremely Damaged Teeth
• Teeth - in - a - Day
• Veneers
• Complex Root Canal Treatments
• Surgical Tooth Removal
• Complex Dentures (Swiss Denture Concept)

See what our patients say below:
⭐️⭐️⭐️⭐️⭐️
"I thoroughly recommend Ed Gazdov both for the extremely high quality of his clinical work and for his engaging and intelligent interpersonal skills. It is a rare thing indeed to find someone who will be a delight to engage with whilst they are also wreaking a complete transformation in your appearance for you. I went to him on my wife's recommendation and he confirmed I needed very significant work to rectify severely ground-down teeth. I now have a brilliant smile, a mouth that feels great and a green light to enjoy food again. The work was lengthy, but no effort was spared by Ed to provide me with the best of outcomes down to the finest detail.Благодаря ти Ed!"A. Fleming

BEFORE AND AFTER

Real Results. Real Patients.Every image you see here shows real treatments carried out personally by Dr. Eduard Gazdov — from start to finish.We treat complex cases using modern, evidence-based protocols. Whether it’s a full smile makeover, single-tooth restoration, or managing difficult retreatments, our approach is built on precision, communication, and care.🦷 We offer:
• Same-day teeth with digital design, root canal retreatment, buildup and crown — all in one visit
• Implant dentistry with immediate or guided solutions
• Veneers, crowns and bridges with minimally invasive preparation
• Full-arch rehabilitation using digital planning and aesthetic layering
• Gentle surgical tooth removal, even in complex or infected cases
• Direct composite restorations and bonding for small chips or cosmetic reshaping
• CEREC crowns and inlays designed and delivered chairside
• Re-treatment of failing or fractured bridges
We work with magnification, rubber dam isolation, high-end materials and lab support, and always explain every step along the way.

Modern Implant, Restorative & Aesthetic Dentistry
Driven by precision · Shaped by technology · Backed by experience
ж.к. Малинова долина, ул. „проф. Крикор Азарян“ 24, 1734, Sofia, Bulgaria +359888695896“Dr. Eduard Gazdov Dental Clinic” LTD
208077285
© 2026 Dr Eduard Gazdov · Crafted with care